top of page

Case Studies
Check out our Case Studies for insight into our dental patient care and the variety of dental treatments we offer. Get in touch with us today!
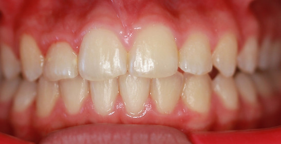
Root Canal


Before
During

After
Root Canal

bottom of page

Check out our Case Studies for insight into our dental patient care and the variety of dental treatments we offer. Get in touch with us today!



